14 декабря 2023 в 09:51

Во Владимирской области врачи диагностировали сложную опухоль у подростка

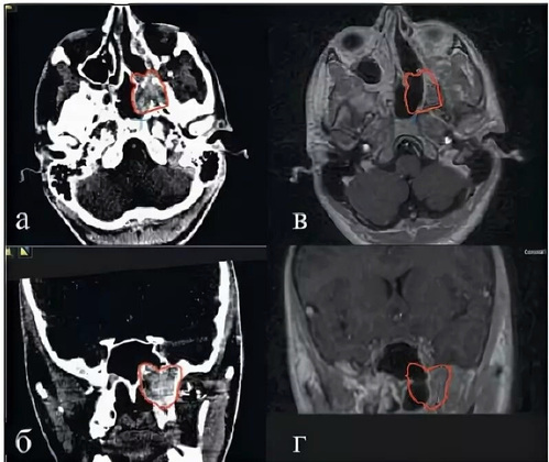
Фото: минздрав Владимирской области
Врачи ЛОР отделения ОДКБ поставили серьезный диагноз ребенку - юношеская ангиофиброма основания черепа. Это доброкачественная, но агрессивно растущая опухоль, угрожающая смертью пациенту, если ее не лечить. 15-летний подросток поступил с жалобами на затруднение дыхания и массивные носовые кровотечения.

Остановка таких кровотечений возможна только перевязкой сонных артерий, рассказали в пресс-службе минздрава Владимирской области. После постановки диагноза медики приняли решение направить мальчика в Федеральный центр имени Рогачева, где состоялась операция. Сейчас пациент уже выписан оттуда и проходит лечение снова в ЛОР отделении ОДКБ.

Автор:
^
Нашли опечатку в тексте? Выделите её и нажмите Ctrl + Enter.
вчера в 12:57 Александр Авдеев побеседовал с бойцами СВО в филиале фонда «Защитники Отечества»
Накануне Дня защитника во владимирском филиале фонда «Защитники Отечества» губернатор Александр Авдеев провел доверительный и обстоятельный разговор с группой участников СВО. Откровенный диалог за чашкой чая охватил прак…
вчера в 10:08 Один человек пострадал при пожаре в доме на улице Собинской во Владимире
Ночью в воскресенье во Владимире произошел пожар в двухквартирном деревянном доме. Сообщение о возгорании по адресу: улица Собинская, дом 31/19, поступило в Центр управления в кризисных ситуациях (ЦУКС) Главного управлен…

Для улучшения работы сайта и его взаимодействия с пользователями мы используем файлы cookie и сервис Яндекс.Метрика. Продолжая работу с сайтом, Вы даете разрешение на использование cookie-файлов и согласие на обработку данных сервисом Яндекс.Метрика. Вы всегда можете отключить файлы cookie в настройках Вашего браузера.